- 다양한 주제에 대해 자유롭게 글을 작성하는 게시판입니다.
Date 15/12/01 12:28:01
Name   Zel
File #1   ezgif.com_resize_2.gif (3.33 MB), Download : 23
Link #1   http://pubs.rsna.org/doi/suppl/10.1148/rg.e35
Subject   MRI는 이런 것도 합니다


80년대 MRI가 개발 된 이후 어떻게 하면 좀 더 빠르게, 정확하게, 고해상도로 다양한 검사를 할 수 있느냐가 큰 주제였습니다.
사실 NMR이론은 40년대.. 늦어도 50년대에 대부분 완성이 되었고, 그 동안은 공학의 발전을 기다리는 것 뿐이었습니다. (마치 스타워즈 1처럼)

보다 강한자장을 걸수 있는 강력한 전자석, 균일한 자장을 만들 수 있는 차폐능력, 그리고 컴퓨팅 파워가 합쳐져서 요즘의 MRI가 되었습니다.
물론 왜 이렇게 비쌀까? 하는 의문은 많은 분들이 가지시겠지만 기계 자체가 대략 200만불 선 이상에, 여러 사람의 인건비, 방유지, 그리고 결정적으로 한 기계가 많이 하루에 찍지를 못합니다.
빠르게는 20초 이내에 검사를 끝낼 수 있는 (물론 환자 준비하는 등의 가비지타임이 있지만) CT와는 달리 MRI는 시퀀스 하나당 걸리는 시간이 수분-십여분 까지 되고 여러 시퀀스를 찍다 보니 빨라도 20분, 보통 40분 이상 걸립니다.

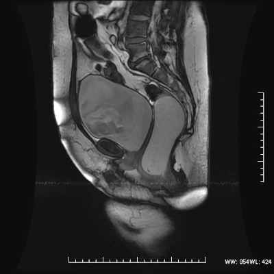
뭐 각설하고 이 영상은 MR defecography라는 검사 기법으로 바로 똥싸는 것을 동영상으로 보여 주는 겁니다. 이걸 왜 하냐고요? 이건 아래 intercourse영상과는 달리 실제적으로 사용되는 검사입니다. 출산후 골반근육이 약해져서 대변을 잘 못보거나 변실금, 방광이나 자궁이 힘줄때 탈출하는 그런 증상의 검사를 위해서 하는 거죠.. 항문에 조영제+감자 갈아넣은거 같은거를 집어 놓고.. 검사 중에 배변을 시킵니다. 그걸 찍는거죠. 과거에는 이걸 x ray를 써서 투시검사로 했었습니다. 한번하면 향기로운 냄새가 검사실에 가득차는.. 물론 환자도 고역입니다. 옆에 누가 서있기만 해도 소변도 잘 안나오는데 여러명이 똥싸는걸 지켜보고 있는데 잘 나오겠습니까.. 게다가 환자들은 거의 대부분 출산이후 골반벽이 약해진 여자분들입니다. 환자가 변을 못봐서 실패도 많이 했던 기억이 있습니다. 그나마 이 X-ray 검사는 양변기 같은거 위에 걸터앉고 시행했습니다만.. 이 MRI는 환자가 누운채로 싸야 합니다. (앉아서 찍는 기계도 있긴 하지만 이 용도로는 거의 안씁니다). 이걸 저희 대장외과 선생님께 보여주니 당장 하자고 하지만.. 찍는거는 어렵지 않지만 방 세팅이 힘들어서.. 게다가 이 다음에 환자 들어가면 컴플레인 작살이겠죠. 그래서 차일피일 미루고 있습니다. (아마 영원히 안할 것 같습니다.)


사진을 보는 법은 앞의 큰 동그라미가 방광이고 뒤가 직장-항문입니다. 직장에 차 있는 변이 어떻게 나오는지를 감상하시면 되겠습니다. 이 영상은 환자는 아니고 정상 지원자입니다.
쾌변의 즐거움을 같이 느끼세요!

영상은 http://pubs.rsna.org/doi/suppl/10.1148/rg.e35 에서 참조하였습니다. 다양한 동영상이 있습니다만..뭐 굳이 더 보실 필욘 없습니다.



1


    목록
    번호 제목 이름 날짜 조회 추천
    227 기타정도전 21화 4 천하대장군 15/06/06 16089 0
    1237 생활체육[F1] 그 재미를 느껴보자 -6 : F1 용어에 대해서 알아봅시다. (2) 8 수박이두통에게보린 15/10/12 16071 0
    937 기타피시방 요금 설명과 흡연 신고 방법 11 하드코어 15/09/07 16038 0
    228 기타정도전 22화 2 천하대장군 15/06/06 16037 0
    5008 꿀팁/강좌[사진]렌즈의 초점거리에 따른 원근감의 변화를 알아봅시다. - 원근 왜곡 11 사슴도치 17/02/25 15997 4
    3310 IT/컴퓨터어느 게임 회사 이야기 (7) 11 NULLPointer 16/07/21 15993 4
    1147 과학/기술섹스의 진화 10 모모스 15/10/01 15992 0
    137 기타[불판] 히오스 ASD(한국팀) VS eStar(중국팀) 골드리그 3경기 6 Leeka 15/05/31 15946 0
    6037 IT/컴퓨터전일제 비전공자 코딩교육 업체에 대한 간단한 정리. 21 April_fool 17/08/01 15889 0
    3304 IT/컴퓨터어느 게임 회사 이야기 (6) 14 NULLPointer 16/07/20 15886 5
    7814 스포츠[사이클] 펠로톤(Peloton)에 대하여 7 Under Pressure 18/07/09 15870 7
    2321 기타제가 재미있게 했던 오락실 게임 4탄.jpg 5 김치찌개 16/02/29 15842 0
    566 문화/예술예술가와 작품은 분리될 수 있는가? 53 Raute 15/07/11 15810 0
    509 영화터미네이터 2의 삭제된 엔딩... 21 Neandertal 15/07/04 15759 0
    1897 생활체육인테르 팬으로서 가장 행복했던 2009-2010 챔피언스리그 시즌을 돌아봅니다. 26 darwin4078 15/12/31 15746 3
    3331 IT/컴퓨터어느 게임 회사 이야기 (13) 13 NULLPointer 16/07/23 15725 4
    415 기타빙빙돌아라 25 시부야린 15/06/23 15716 0
    2592 의료/건강이부프로펜, Cyclooxygenase, 아스피린 이야기 46 모모스 16/04/11 15703 6
    271 기타정도전 28화 천하대장군 15/06/08 15651 0
    520 기타장기 묘수풀이 하나 풀어보세요. (댓글에 해답 있음) 37 위솝 15/07/05 15605 0
    2605 의료/건강판피린 3형제 이야기 32 모모스 16/04/13 15562 8
    1536 문화/예술모 웹툰의 디테일과 배경 수준 10 블랙이글 15/11/12 15502 0
    111 기타이곳은 pgr21이 아닙니다. 17 아저씨 15/05/31 15500 0
    1675 의료/건강MRI는 이런 것도 합니다 28 Zel 15/12/01 15393 1
    1429 문화/예술F(x) 4 Walls 가사 파고들어가보기 6 王天君 15/11/02 15357 4
    목록

    + : 최근 2시간내에 달린 댓글
    + : 최근 4시간내에 달린 댓글

    댓글