- 질문 게시판입니다.
| Date | 19/08/18 22:08:28수정됨 |
| Name | [익명] |
| File #1 | KakaoTalk_20190818_140449387.png (330.8 KB), Download : 11 |
| File #2 | KakaoTalk_20190818_140450648.png (275.7 KB), Download : 12 |
| Subject | 척추협착증 관련 질문 드립니다. |
|
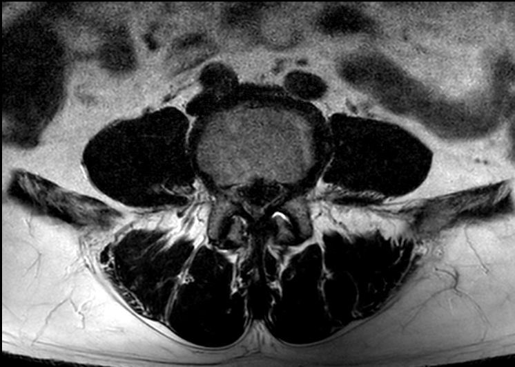
https://www.redtea.kr/pb/pb.php?id=qna&no=7662 엊그제 글을 한 번 올렸는데 다시 올리는 이유는 MRI 사진을 환자인 가족에게 파일로 받았기 때문에 더 정확한 설명을 들은 수 있지 않을까라서 입니다. 다른 병원에서 진료만 받아보려고 토요일에 가서 파일을 받았다네요. 이미 한 번 질문을 드렸고 많은 조언을 받았기 때문에 다시 올리는 게 겸연쩍기도 하고 한 달 간 다른 병원 몇 군데를 가볼 예정이지만 그래도 하나라도 많은 조언을 듣고 싶어서요. 진단을 해주신 대학병원 의사선생님을 못 믿는 건 아닌데 앞서 글에서도 설명드렸듯이 한 달 간 휴직을 하는 것에 대해서나 당뇨나 다른 병들 때문에 수술보다 다른 시술이나 치료가 좋지 않을까 싶어서 입니다. 물론, 여러 의사선생님들이 수술하라고 하시면 예정대로 빠르게 수술할 생각이고요. 사진은 측면 4장 단면(?) 3장 정도 있는데 잘 몰라서 우선 2장만 올려봤습니다. 같은 내용으로 번거롭게 두번이나 글 올려서 홍차넷 여러분께 죄송합니다. 0
|
|


