- 질문 게시판입니다.
| Date | 19/08/16 12:33:24 |
| Name | [익명] |
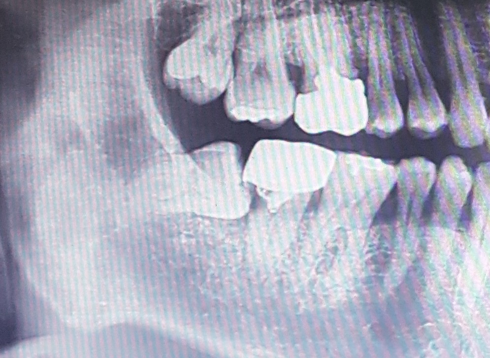
| Subject | 매복사랑니 꼭 발치해야하나요 |
|
치과 검진을 가서 엑스레이를 찍었는데 매복사랑니가 아래 양쪽에 있더군요. 완전 누워있어서 있는지도 몰랐어요. 그런에 선생님이 매복사랑니는 발치하는게 좋고 뽑으려면 대학병원가서 뽑으라 하시더군요. 인사드리고 나와서 검색 좀 해보는데, 애낳는 것보다 매복사랑니 뽑는게 훨씬 아팠다 등등의 후기를 보니 몸이 덜덜 떨리네요... 0
|
|







