- 질문 게시판입니다.
Date 16/07/26 17:14:41
Name   탄야
File #1   제목_없음.png (421.0 KB), Download : 29
File #2   제목_없음2.png (231.2 KB), Download : 28
Subject   손가락을 삐엇다고 생각했는데.. 수술해야 할까요?




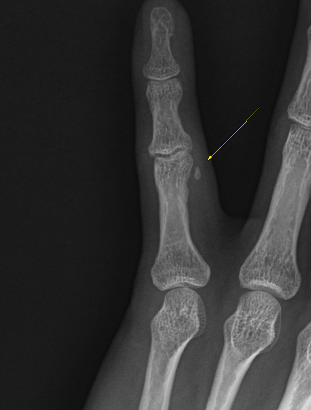
어제 밤에 얼음꺼내다 냉장고 문에 새끼손가락을 삐엇습니다.
좀 부은상태고 별로 아프진 않아 별 생각 없었는데
회사근처 병원에 가보니 다른병원가서 수술하라고-_-하네요

x-ray상에선 작은 뼈조각이 떨어져나간게 보이는데 수술해야 할까요?
내일 오전에 수술 가능한 병원가보려합니다... ㅜㅜ

건열골절, 근위지골, 그위지관절의 요골촉부위, 5수지, 좌측



0


목록
번호 제목 이름 날짜 조회 추천
609 의료/건강EB 바이러스에 대한 것이 알고 싶습니다. 5 西木野真姫 15/12/15 9471 0
35 게임프로포커플레이어 임요환의 근황 아시는 분 있나요? 6 Jungpolar 15/06/03 9469 0
7 기타질문합니다 16 녹차넷 15/05/30 9465 0
12618 가정/육아축의금 질문입니다..50내고 10받았네요 27 수원호두 21/11/29 9460 0
9448 문화/예술음악 스트리밍 사이트를 추천받고 싶어요. 17 소반 20/05/20 9457 0
4365 진로건축은 진로를 어떻게 잡아야 할까요? 30 늘해랑 18/03/29 9457 1
9057 기타슈타인즈 게이트 보는 순서 4 [익명] 20/03/24 9454 0
6891 철학/종교[천주교]교리과정 중 찰고, 많이 빡센가요? 20 TheORem 19/04/04 9447 0
8711 기타의사분들 직급 영문명 아시는분 계실까요? 35 정중아 20/01/31 9445 0
1332 의료/건강손가락을 삐엇다고 생각했는데.. 수술해야 할까요? 5 탄야 16/07/26 9443 0
30 진로편입을 준비할까 합니다. 8 불꽃늑대 15/06/02 9437 1
3875 체육/스포츠복싱을 배워볼까 하는데요... 21 소맥술사 17/12/21 9436 1
7751 기타천장 매립등 접지선 따로 처리하지 않고 달아도 괜찮나요? 4 호미밭의 파스꾼 19/08/27 9435 0
7687 법률진단서에 기재된 기간과 병가 기간 4 [익명] 19/08/19 9433 0
805 기타남대문 주류상가 질문입니다 5 ORIFixation 16/02/03 9433 0
9983 기타꼭지가 돌아버렸다라는 말의 유래가 있나요? 5 [익명] 20/08/20 9432 0
7517 기타에어컨 냉난방기의 난방 기능이 궁금합니다. 6 은목서 19/07/23 9432 0
7403 경제빌라 청소비 얼마정도 납부하시나요? 3 원영사랑 19/06/30 9428 1
7689 여행차박 vs 캠핑카 렌트? 18 Dr.Pepper 19/08/19 9425 0
47 기타pgr21을 더이상 방문하지 않는 유저분 계신가요? 32 뿜빰빰뿜빰 15/06/05 9416 1
4123 체육/스포츠복싱체육관 어디를 선택해야 할까요? 16 소맥술사 18/02/08 9411 1
12712 기타왜 한국 공문서에서는 음슴체를 쓸까요? 15 무적의청솔모 21/12/20 9403 0
1679 기타정기후원을 해 보려고 합니다 20 마투잘렘 16/10/24 9401 0
420 연애커플링 맞추려고 하는데 14K 18K 뭐가 좋을까요 20 대통령 15/11/05 9397 0
232 게임서머너즈워 두번째 6성(스크린샷 추가) 6 르망 15/08/15 9393 0
목록

+ : 최근 2시간내에 달린 댓글
+ : 최근 4시간내에 달린 댓글

댓글