- 질문 게시판입니다.
| Date | 20/12/21 19:43:56 |
| Name | [익명] |
| File #1 | KakaoTalk_20201221_181441813.jpg (914.6 KB), Download : 11 |
| File #2 | 제목_없음_2.jpg (1001.6 KB), Download : 12 |
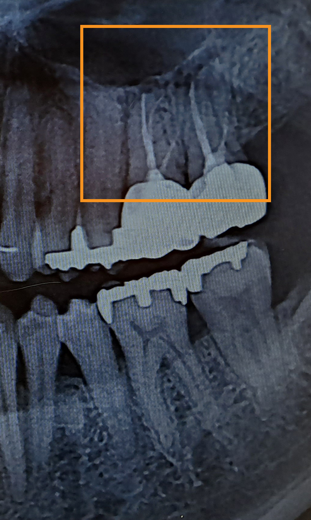
| Subject | 잇몸에 염증이 난건지 봐주실수 있을까요? |
|
외진곳에 살고있어서 버스타고 30분씩 가야 치과가 겨우 하나 있는 곳에 살고있습니다. 어금니 윗쪽이 아프고 머리가 아파서 치과에 갔는데요. 어느 병원에서는 이정도는 전혀 신경치료나 임플란트같은건 안해도 된다고 하시네요. 그리고 잇몸 염증보다는 이빈후과에 가서 머리쪽과 이빨과 연결된 어딘가가 아플수도 잇으니 이빈후과를 가라고 하시더군요 그래서 오늘 다른 치과에 가서 엑스레이를 찍어봤는데 거기서는 임플란트를 해야 할것 같다고 하시네요. 사진에 있는 검은색 테두리 안쪽 부분과, 주황색 네모 부분 안쪽이 염증으로 보이는 부분인데요. 주황색으로 테두리 친 치과는 이건 염증이 아니라 하시고, 검은색으로 체크해주신 병원은 염증이라고 하시네요. 이미 신경치료를 했던 이빨이기에 더이상 신경치료는 의미가 없고 임플란트를 하라고 하십니다. 비용은 총 100만원 정도구요. (이빨 하나에) 100만원이 작은 돈이 아니라 다른 병원 또 가보고 싶긴한데... 궁금해서 홍차넷에 한번 물어보고 싶습니다. 0
|
|

